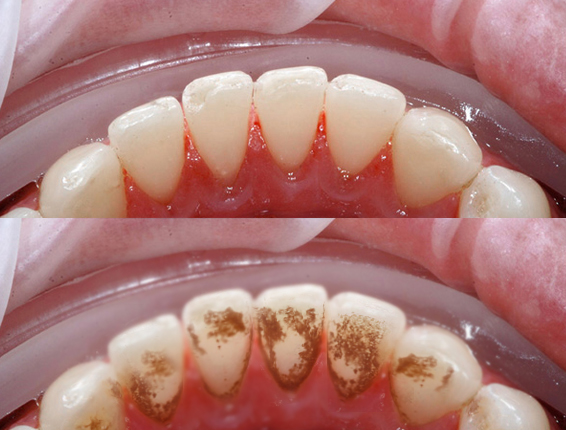
Uklanjanje zubnog kamenca
Paradontopatija je oboljenje koje se ne može izlečiti, već se može samo usporiti. Zbog toga se veliki značaj daje prevenciji. To podrazumeva uklanjanje predisponirajućih faktora, pre svega mekih naslaga (pranje zuba) i tvrdih naslaga (uklanjanje kamenca).
Zubni kamenac uspešno uklanjamo specijanim aparatom koji koristi ultrazvučne vibracije, koje razbijaju zubni kamenac. Nakon ultrazvučnog tretmana zubi se poliraju četkicama i gumicama uz dodatak specijalnih pasta do potpunog uklanjanja naslaga. Ovaj postupak treba ponavljati na svakih 6 meseci.

