Estetska stomatologija

kompozitne-fasete

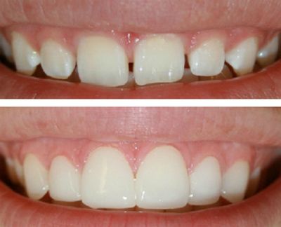
Kompozitne fasete

Kompozitne fasete su tanki slojevi kompozitnih materijala koji se nanose na prednji vidljivi deo zuba sa ciljem postizanja promene oblika, položaja, boje zuba. Uglavnom se radi o zatvaranju razmaka između zuba ili u slučajevima manjih defekata koji ne zahtevaju brušenje zuba.

Keramičke fasete (viniri)

Keramičke fasete (viniri) su tanke keramičke ljuspice, koje se koriste u slučajevima većih diskoloracija zuba ili kada je potrebna korekcija oblika i položaja zuba. Prednja strana zuba se brusi 2mm čime se postiže odgovarajuća debljina vinira. Na osnovu modela koji se dobija iz otiska zuba, zubni tehničar izrađuje fasetu uz pomoć CAD/CAM kompjuterizovane tehnologije.

Keramičke plombe (inleji)

U slučaju kada je karijes previše razorio krunu zuba, kada se ne može na zadovoljavajući način restaurirati zub klasičnim kompozitnim ispunom, pristupa se izradi inleja. Nakon uklanjanja karijesa i preparacije kaviteta zuba uzima se otisak zuba, zubni tehničar izrađuje inlej uz pomoć CAD/CAM kompjuterizovane tehnologije.

Izbeljivanje zuba

Zdravi, lepi i beli zubi su preduslov besprekornog osmeha. Zubi vremenom menjaju boju čemu doprinose konzumiranje obojenih napitaka (kafa, koka-kola, crno vino, čaj), upotreba cigareta, upotreba tetraciklina. U našoj ordinaciji primenjujemo dve tehnike beljenja zuba, kojima se uz upotrebu savremenih materijala postižu odlični rezultati.

Kliničko izbeljivanje zuba se obavlja u ordinaciji i kontrolisano je od strane stomatologa. Podrazumeva primenu vodonik peroksida u gelu koji se nanosi na zube u kombinaciji sa specijalnom UV lampom. Tretman traje 30-45min, a rezultat su 2-4 najnse svetliji zubi. Dugotrajnost rezultata beljenja zavisi od vaše volje, koja se ogleda u suzdržavanju od preterane konzumacije obojenih napitaka, cigareta..

Kućno beljenje zuba podrazumeva izradu individualnog splinta na osnovu otiska zuba, u koji pacijent aplikuje gel za koji je dobio instrukcije za korišćenje od stomatologa.